主な対象疾患
脊椎・脊髄疾患
下肢神経痛で長距離歩けない,手足のしびれ,思うように動かない方は神経が圧迫されている可能性があります.検査をして神経圧迫が有れば神経の圧迫を取り除く手術をお勧めします.脊椎手術は手術用顕微鏡を使用して,明るく拡大した術野のもと安全な手術を行っています.
腰部脊柱管狭窄症,腰椎椎間板ヘルニア,頚椎症性脊髄症,骨粗鬆性椎体骨折等の手術治療を中心におこなっています.入院は平均2週間程度です.
顕微鏡を用いた手術
腰部脊柱管狭窄症(MRI)
頚椎症性脊髄症(MRI)
膝関節疾患
小児から高齢者と幅広い年齢層に対して手術治療を中心に診療を行っています。
スポーツ障害では半月板損傷や前十字靱帯損傷が多くを占めており、関節鏡を用いた治療を行っております。
半月板損傷
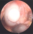
半月板は膝の内側と外側の両方に存在してクッションの役目を果たしており、外傷やスポーツなどによるオーバーユースにより損傷することがあります。また加齢による変性でも損傷します。手術では関節鏡を膝関節内に挿入して半月板の様子を確認してどのような手術を行うかを判断します。当院ではなるべく半月板を温存することを心掛けており、半月板縫合を行うことが多いですが、修復が難しい部位では部分切除が余儀なくされることもあります。
半月板を修復している鏡視所見
膝前十字靭帯断裂
前十字靭帯損傷はスポーツの最中に膝が軽度屈曲位で外反を強制されて生じることが多く、サッカーやバスケットボールなどの競技中に生じやすいです。前十字靭帯が断裂すると膝には血が貯まって著明な血腫が生じて歩けなくなります。急性期の炎症が過ぎると痛みは軽減しますが、膝の不安定感が残存し、最終的には軟骨が痛んでいってやがて後述する変形性膝関節症に陥ってしまうことがあります。スポーツ復帰を希望される患者さんや、膝崩れ現象が頻回に起きて日常生活に支障をきたす患者さんには鏡視下前十字靭帯再建術が適応されます。当院では半腱様筋腱を用いた再建を行っております。
半腱様筋腱を用いて前十字靭帯を再建した鏡視所見(左再建前、右再建後)
変形性膝関節症、膝関節骨軟骨障害
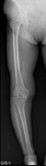
加齢性変化による疾患では変形性膝関節症が多く、単顆型を含めた人工膝関節置換術はもちろん、適応があれば骨を温存することのできる膝周囲(大腿骨遠位・高位脛骨)骨切り術も行っています。若年者の軟骨損傷に対しては損傷の程度に応じて骨軟骨柱移植術・骨軟骨片固定術・培養軟骨移植術を行っています。
人工膝関節置換術、高位脛骨骨切り術

人工膝関節手術前

人工膝関節置換術後

高位脛骨骨切り術前

高位脛骨骨切り術後
自家骨軟骨柱移植

軟骨欠損部の鏡視所見

骨軟骨柱移植後
膝蓋骨障害
当科では膝蓋骨(いわゆる膝のお皿)障害に対する治療も積極的に行っています。変性の進行した膝蓋大腿関節症には脛骨粗面移行術を行います。膝蓋骨脱臼に対する手術加療は各病態・年齢に応じて術式を選択して積極的に行っています。具体的には反復性膝蓋骨脱臼に対しては内側膝蓋大腿靭帯再建術、習慣性膝蓋骨脱臼に対しては骨端線閉鎖前の小児には内側膝蓋大腿靭帯再建術に加えて外側支帯解離術、内側広筋前進術、成人にはさらに脛骨粗面移行術を追加します。恒久性膝蓋骨脱臼に対してはさらに大腿骨の骨切り術も症例に応じて追加しています。
肩関節疾患
肩関節痛は中高年にみられる代表的な症状ですが、五十肩というあいまいな病名で漫然と治療されているケースが少なくありません。当院では肩関節専門医による正確な診断と迅速な治療を心掛けており、非手術加療に抵抗する場合は低侵襲な関節鏡視下手術を積極的に取り入れております。適応があれば間葉系幹細胞や生体材料を用いた再生医療も行っております。末期の腱板断裂に適応のあるリバース型人工肩関節置換術も行っており、通常の人工肩関節置換術を含めて年間約40例程度行っております。また若年者のスポーツ障害、特に野球選手に関しては野球経験者による詳細かつ綿密な全身の診察により、悪いところを的確に判断して積極的にリハビリテーションを行うことにより、早期にスポーツ復帰できるよう手助けをしております。
腱板断裂
腱板断裂は70歳前後で肩関節痛をきたす疾患の代表であり、注射やリハビリなどの保存加療に抵抗する場合に手術が適応されます。修復可能な場合や65歳未満の若年者では鏡視下修復術が行っておりますが、当院では基礎的データから裏打ちされた最新の治療として、生体材料や自家腱に滑膜由来細胞を導入して補強する独自の手術を行っており、良好な手術成績を国内だけでなく海外にも報告しております。一方、65歳以上で広範囲に断裂しているため一次修復が困難なケースにはリバース型人工肩関節置換術の適応があります。
腱板広範囲断裂に対する鏡視下手術

右肩広範囲腱板断裂の鏡視写真(外側より)

人工素材と二頭筋腱で作成したパッチにより断裂部を補強
腱板広範囲断裂に対するリバース型人工肩関節置換術

術前レントゲン写真

術後レントゲン写真
右外傷性肩関節不安定症(反復性肩関節脱臼)
転倒して手をついたり、人と接触するなどして腕の外転外旋位を強制されると肩が外れる(脱臼)ことがあります。(外れかかったが自然に整復されたときは亜脱臼といいます)3週間外固定をするなどの初期治療をしっかりしなかった場合に肩が脱臼しやすくなることがあり、これを外傷性肩関節不安定症(反復性肩関節脱臼)といいます。原因としては肩関節の防波堤の役割をする前下方関節唇が剥がれてしまっているため、これを鏡視下に修復する手術が行われます。
鏡視下関節唇形成術の実際

剥がれた前方肩関節唇(右肩関節内を後方より鏡視)

アンカーを用いて剥がれた関節唇を修復
肩鎖関節脱臼
転倒や転落して肩を外側からぶつけたときに、鎖骨と肩甲骨を安定化させる烏口鎖骨靭帯が断裂してしまい、肩鎖関節脱臼が生じます。当院では独自に編み出した鏡視補助下靭帯再建術を行っており、良好な成績の報告を論文や著書で行っております。

術前レントゲン写真(鎖骨が上方に大きく跳ね上がっている)

術後レントゲン写真(ボタンと人工靭帯で断裂した靭帯を再建)
胸郭出口症候群
手の方に向かう重要な血管や神経が鎖骨と肋骨の間に走行していますが、挙上動作でこれらがはさまれてしまい、肩周囲の鈍痛、手のしびれや冷感、脱力などが生じる病態です。当院では、特に挙上動作で症状が増悪する場合には腋窩からアプローチする内視鏡下第1肋骨部分切除術を行っております。
内視鏡的第1肋骨切除術

腕神経叢を圧迫している肋骨を内視鏡を見ながら切除

除圧後の血管と神経
凍結肩(肩関節周囲炎、五十肩など)
中年以降に特に原因なく肩が痛くなって動きが悪くなる状態を従来より「五十肩」、あるいは「肩関節周囲炎」と診断されていましたが、2017年に日本肩関節学会がそのような病態を「凍結肩」と呼ぶことを定めました。外傷や手術など、明らかな原因がある場合には「拘縮肩」とよびます。当院では難治性の凍結肩に対して、入院ではなく外来でエコーを見ながら肩に麻酔をかけて動きをよくするサイレント・マニピュレーションという方法を行っております。しかし、喫煙者や糖尿病がある人など、難治性リスクがある人には入院して鏡視下授動術という内視鏡手術をお勧めしております。
サイレント・マニピュレーション

エコーを見ながら麻酔をかける

エコーで神経を描出

サイレント・マニピュレーションの実際
右凍結肩に対する鏡視下授動術

前方肩関節包を切離

後上方関節包を切離

下方関節包を切離
手外科疾患
手の外科で多いのは、腱鞘炎(ばね指、ケルバン腱鞘炎)、絞扼性神経障害(手根管症候群、肘部管症候群)、変形性関節症(ヘバーデン結節、母指CM関節症)です。多くは日帰りの手術加療を専門医により行っています。いずれも手をよく使う人や女性に多い疾患です。痛くて困っている方はご相談下さい。